自費診療
インプラント
インプラントとは
歯を失った部位の顎骨にチタン製の人工歯根(フィクスチャー)を埋め込み、その上にアバットメント(土台)と人工歯を装着して噛む機能と見た目を回復させる治療です。
ブリッジが困難な症例や、入れ歯の違和感を避けたい方、しっかり噛める固定式の治療を求める方に適した方法です。
インプラントは歯牙移植に比べて適応範囲が広く、審美性・耐久性にも優れています。
こんな方にお勧め
- 歯を失い、噛みにくい・食べにくい
- 入れ歯が合わず、痛い・外れる・違和感が強い
- 自分の歯のようにしっかり噛める治療を希望
- 歯ぐきが下がり見た目が気になる
- 発音がしづらい
当院インプラント治療の特徴
シムプラントのガイドシステムを使用
シムプラントは、CTデータをもとに顎の骨や神経などを3D表示し、インプラントの最適な位置・角度・深さを事前に設計できるシミュレーションソフトです。
その設計情報をもとに、患者さんごとの「サージカルガイド(手術用マウスピース)」を作成します。
手術では、このガイドを口の中に装着し、ガイドの穴(スリーブ)に沿ってドリルを進めることで、設計通りの位置・角度で正確で安全にインプラントを埋入する事が出来ます。
アストラテックインプラントを使用
アストラテックインプラントは、「骨と歯肉の長期安定」「咬合機能の回復」「埋入・補綴の柔軟性と簡便さ」をバランスよく兼ね備えた、信頼性の高いインプラントシステムです。特に「骨の状態があまり良くない」「治療期間を抑えたい」「将来にわたり安定させたい」といった患者さんのニーズに幅広く応えることができます。
骨が足りない症例にも対応
インプラントを入れるための骨が十分でない場合でも、必要な部分に骨を増やす処置(骨造成や上顎洞への骨補填)を併用することで、治療が可能になるケースが広がります。
これにより、「骨が足りない」と言われてインプラントを断念していた方でも、治療を受けられる可能性が高まります。
治療の流れ
カウンセリング・検査
01
まず初めに、カウンセリングと各種検査を行います。レントゲンやCT撮影によって骨の量や噛み合わせ、周囲の歯の状態を詳しく確認し、シムプラントを用いて治療が可能かどうかを判断するとともに、最適な治療プランをシミュレーションします。
3D診断・SIMPLANTによる治療計画
02
神経や血管の位置関係を立体的に把握しながら、インプラントを埋入する位置・角度・深さを精密に設計します。その設計をもとに、手術の精度と安全性を高めるサージカルガイドを製作します。
インプラント埋入手術(ガイド使用)
03
治療計画が確定したら、ガイドを使用してインプラント埋入手術を行います。サージカルガイドによって計画通りの位置へ正確にインプラントを埋入できるため、より安全で確実性の高い手術が可能になります。
治癒期間(数か月)
04
骨とインプラントが結合するまで経過観察します。
アバットメント装着
05
インプラントの上に人工歯を支える土台を装着します。
上部構造(人工歯)装着・噛み合わせ調整
06
ジルコニア・セラミックなどの人工歯を装着し、見た目と噛む機能を回復させます。
メンテナンス
07
治療が終わったら定期的なメンテナンスを受けていただきます。
インプラントは天然歯と同様、定期検診とクリーニングが長期的な安定の鍵です。
これを怠るとインプラント歯周病が起きて、最悪の場合インプラントが取れてしまいます。
インプラントのメリット・デメリット
メリット
- 周囲の歯を削らない
- しっかり噛める
- 見た目が自然
- 顎の骨が痩せにくい
- 違和感が少ない
デメリット
- 外科手術が必要
- 治療期間が長い
- メンテナンスが重要
- すべての方に適応できるわけではない
インプラント費用
| インプラント埋入 | 〇〇円 |
|---|---|
| アバットメント | 〇〇円 |
| 人工歯費用 | 〇〇円 |
| 骨造成(必要な場合) | 〇〇円 |
| 骨補填(必要な場合) | 〇〇円 |
よくある質問
局所麻酔で行い、痛みはほとんどありません。
術後の痛みは通常、鎮痛薬でコントロールできます。
状態によって違いますが1本の場合は1時間程度が目安です。
SIMPLANTガイドを使用することで時間短縮が期待できます。
骨造成術を併用することで治療可能となる場合が多くあります。
CT診断で詳しく評価します。
通常3〜6か月程度ですが、骨質や症例により前後します。
適切なメンテナンスを続ければ、10〜20年以上の長期安定も十分可能です。
インプラントは生体親和性の高いチタン製で、アレルギーリスクは非常に低いと言われています。
歯列矯正
当院における矯正歯科治療の指針
矯正歯科治療のみでお口の状態を改善し、維持することは困難です。
虫歯や歯を補う治療、審美治療、あるいは歯周病(歯肉炎)予防といった処置を必要とすることも少なくはありません。お口の中の特に歯に関する問題を総合的に診断し目標に対して一連の治療計画を立てることが重要です。当歯科クリニックでは一元管理できるメリットを生かし歯科治療全般に対応することで包括的歯科治療を患者様に提供します。
また、治療リスクが非常に高い症例や高度な治療技術を要する症例は専門医療機関へのご紹介とし連携をはかり対応いたします。
矯正歯科治療とは
悪い歯並びや咬み合わせを、きちんと咬み合うようにして、きれいな歯並びにする歯科治療です。ブラケットとワイヤーを使った矯正装置を通じて、歯やアゴの骨に弱い力をかけて、自分の歯を少しずつ動かし、歯並びと噛み合わせを治していきます。きれいに並んだ白い歯と、きれいな口元は、魅力的な笑顔を作るだけでなく、歯並びが良くなると、良く噛むことができ、ひいては身体全体の健康につなげることを目的にしております。
歯並びが悪いと
- 歯に汚れが付きやすく、歯磨きもしづらいので、虫歯、歯周病になりやすくなります。
- 発音がはっきりしないことがあります。
- 食べ物がよく咬めないことがあります。
- 歯をぶつけて歯が折れてしまったり、ケガをしやすいことがあります。
- アメリカやヨーロッパなどでは歯並びを治すのは当たり前なので、外国に行った時に恥ずかしい思いをすることがあります。
矯正治療を始める時期
歯並びには小学校中学年〜高学年に一度治療したほうがよいものと、永久歯が全て生え変わり成長が終息した高校生頃から治療を行うものとがあります。
もちろん成人の方でも矯正治療は出来ますのでご相談下さい。
治療期間
- 動かす時期は歯並びの状態や使う矯正装置の種類によって異なってきますが、一般に簡単なもので半年~1年位、歯並び全体を治す場合では2年前後かかります。
- 子供さんの治療では、治療を2期に分けて考える場合があります。第一期治療では永久歯の萌出スペースの獲得や顎の成長バランスの獲得をはかり、永久歯列が完成し成長が終息した後に、仕上げの治療として第ニ期治療を行います。
- 歯並びは永久歯列が完成(第歯並びは永久歯列が完成(第二・第三大臼歯が萌出)し、成長が終息するまで変化し続けます。子供さんの場合は管理する期間が長くなりますが、大切なのは子供の時期の一時的な歯並びではなく、大人になった時にどういう歯並びを保っているかです。 特に受け口の場合は、一度受け口を治しても身長が伸びる時期に、下顎が再び出てくることがあります。管理は長期間必要になりますが、実際に装置をつける期間が最短になるような治療を行っています。
- 矯正装置をはずした後は、きれいになった歯並びをその位置に安定させる保定装置というものを2年位入れておきます。
受け口(反対咬合)や開口の治療計画(例)
治療中の通院
通常、月に1回位です。歯の萌出待ちや定期観察では、3~6ヶ月に1回位になります
治療の流れ
初診相談
01
矯正相談をお受けします
精密検査
02
初診相談後、治療を希望される場合に検査を行います。(X線写真・模型・口腔写真・顔面写真・診査等)
診断
03
検査結果の分析、治療方針、装置の種類、料金、治療期間などについての詳しい説明をします。
治療開始(装置装着)
04
患者さんの了解が得られたところで、お口の中に装置を付け、治療を開始します。
動的治療中
05
装置装着後は、おおよそ月に1回の通院となります。
動的治療終了(装置撤去)
06
歯に装着している装置を外し、動かした歯が動かないように保定装置を作成します。
経過観察
07
4か月~6か月に1回のペースで治療後の経過を診ていきます
治療に使う装置
唇側に装置を付ける場合
裏側に装置を付ける場合
当院の矯正歯科の特徴
矯正治療の専門医
医科では耳鼻科、皮膚科、眼科…と分かれていて専門治療を主として診療していることが普通です。歯科は一つの専門分野ではありますが、なかでもいくつかの専門的な分野があります。当歯科クリニックでは矯正歯科は専門性の高い分野であることから、治療は原則として経験のつまれた矯正専門の担当医が治療に当たるため、安心した治療が受けられます。
目立たない矯正装置
個々の歯につける装置には銀色の金属のものと白いプラスティックのものがありますが、当院では装置は白い装置を使っています。
他医院ではこういった装置の違いにより料金に違いがある(白い装置のほうが高い)ところもありますが、当院ではそういったことはありません。
お口全体の管理
もちろん当歯科クリニックでは普段は一般の歯科治療(虫歯治療、歯周治療、歯磨き指導など)を行っていますので、歯並び以外の歯科治療もあわせた、お口の中全体の管理を当院ですべて行うことができます。
矯正治療費用
| 項目 | 内容 | 費用(税込) |
|---|---|---|
| 初回相談 | 〇〇〇 | 〇〇〇円 |
| 初回検査 | 〇〇〇 | 〇〇〇円 |
| 施術 | 〇〇〇 | 〇〇〇円 |
| 処置 | 〇〇〇 | 〇〇〇円 |
| 保定 | 〇〇〇 | 〇〇〇円 |
| 主訴 | 歯並びが悪いのが気になる |
|---|---|
| 診断名 | 叢生 |
| 使用装置 | マルチブラケット装置 |
| 治療期間 | 〇年 〇か月 |
| 治療費 | 〇〇〇〇〇円 |
| リスク・副作用 | 治療中〇〇〇、〇〇〇等になる可能性が考えられた |
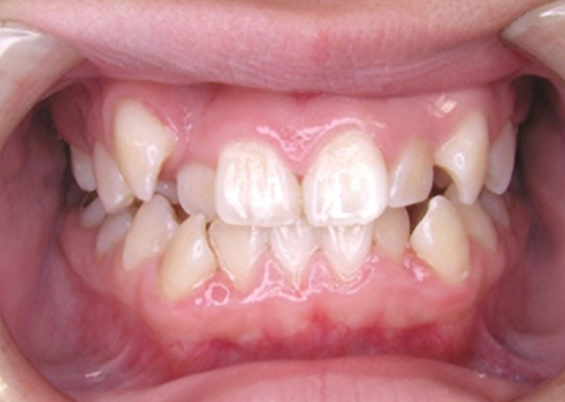
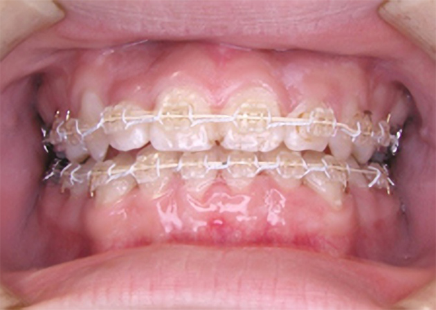
矯正治療例
治療前
治療中
動的治療終了時
| 主訴 | 歯並びが悪いのが気になる |
|---|---|
| 診断名 | 叢生 |
| 使用装置 | マルチブラケット装置 |
| 治療期間 | 〇年 〇か月 |
| 治療費 | 〇〇〇〇〇円 |
| リスク・副作用 | 治療中〇〇〇、〇〇〇等になる可能性が考えられた |
歯科矯正治療に伴う
一般的なリスク・副作用について
- 最初は矯正装置による不快感、痛み等があります。数日間~1、2週間で慣れることが多いです。
- 歯の移動には個人差があるため、予想された治療期間が延長する可能性があります。
- 装置の使用状況、顎間ゴムの使用状況、定期的な通院等、矯正治療には患者さんの協力が非常に重要であり、それらが治療結果や治療期間に影響します。
- 治療中は、装置が装着されているため歯が磨きにくくなります。むし歯や歯周病のリスクが高まりますので、丁寧に磨いたり、定期的なメンテナンスを受けたりすることが重要です。また、歯の移動に伴って隠れていたむし歯が見えるようになることもあります。
- 歯の移動に伴って歯根が吸収して短くなることがあります。また、歯茎がやせて下がることがあります。
- ごく稀に、歯が骨と癒着していて歯が動かないことがあります。
- ごく稀に、歯の移動に伴って神経が障害を受けて壊死することがあります。
- 治療途中に金属等のアレルギー症状が出ることがあります。
- 治療中に「顎関節で音が鳴る、顎関節が痛い、口が開けにくい」などの顎関節症の症状が生じることがあります。
- 様々な問題により、当初予定した治療計画を変更する可能性があります。
- 歯の形を修正したり、咬み合わせの微調整を行ったりする可能性があります。
- 矯正装置を誤飲する可能性があります。
- 装置を撤去する時に、歯の表面のエナメル質に微小な亀裂が入る可能性や、かぶせ物(補綴物)の一部が破損する可能性があります。
- マルチブラケット装置を撤去した後、リテーナーを指示通り使用しないと後戻りが生じる可能性があります。
- マルチブラケット装置を撤去した後、現在の咬み合わせに合った状態のかぶせ物(補綴物)やむし歯の治療(修復物)をやりなおす可能性があります。
- 顎の骨の成長発育により咬み合わせや歯並びが変化する可能性があります。
- 治療後に親知らずが生えて、凸凹が生じる可能性があります。加齢や歯周病等により歯を支えている骨がやせると咬み合わせや歯並びが変化することがあります。その場合、再治療等が必要になることがあります。
- 矯正歯科治療は、一度始めると元の状態に戻すことは難しくなります。
ホワイトニング
ホワイトニングとは
加齢など内側からくる変色や、日頃の食事、飲み物、喫煙など外側からくる汚れで、歯の色は少しずつ変わってきます。
こうした変色、汚れは丁寧なブラッシングだけでは、なかなかきれいに落とせません。
ホワイトニングは、普段の歯磨きや、歯のクリーニングなどでは落としきれないような色素を分解して、歯を白くしてくれます。
ホワイトニング剤の主成分は過酸化水素または過酸化尿素です。
歯の表面に付着した色素を落とすだけではなく、歯の中にある色素を内側から分解して歯自体を白く美しくします。
こんな方にお勧め
- 歯の黄ばみ・変色が気になる
- 歯を削らず見た目を改善したい
- 結婚式・イベントに向けて短期間で白くしたい
- コーヒー・紅茶・喫煙による着色が気になる
- 若い頃の白さを取り戻したい
当院で使用しているホワイトニングシステム
「Tion(ティオン)」
当院では、Tion(ティオン)ホワイトニングシステムを使用しています。
Tion(ティオン)は、GC社が開発した日本人の歯質に合わせたホワイトニングシステムです。
刺激をできるだけ抑えながら、しっかりとした白さを目指せるよう設計されており、
「しみやすい方」や「初めてホワイトニングを受ける方」でも安心して受けていただけます。
専用の薬剤と光照射を組み合わせることで、歯の内側に沈着した色素まで効率よく分解し、自然で明るい白さを目指せるのが特徴です。
国内メーカーによる製品のため安全性が高く、日本国内で厚生労働省の薬事承認を受けている点や、色戻りが少ない点も高く評価されています。
ホワイトニングの禁忌・禁止事項
ホワイトニングができない方
- 妊娠中の方
- 無カタラーゼ症の方(過酸化物を分解できない)
- メタクリレート系ポリマー、メタクリレート系モノマー、エタノールに対する発疹、皮膚炎などの過敏症の既往歴、アルコールに対しアレルギーのある方
- 軽度でも気管支炎及び喘息の方
- 光線過敏症の方
歯の状態が以下に当てはまる方
- う蝕のある歯
- 知覚過敏を有する歯
- 象牙質露出が認められる歯
- 歯根露出が認められる歯
- 歯冠修復物が不適合な部分のある歯
※これら歯の状態の方は、治療後ホワイトニングを受ける事が出来ます。
ホワイトニングの種類
ホームホワイトニング
ホームホワイトニングとは、歯科医院で処方してもらったマウスピースと薬剤を使って、自宅で行うホワイトニングのことです。
個人差はありますが、1日数時間の装着を1~2週間行うことで効果を実感することができます。
低濃度の薬剤を使用するため、オフィスホワイトニングと比べて多少時間がかかるというデメリットもありますが、その分効果の持続性も長く、自分のペースで希望の白さになるまでじっくり続けたい方に、おすすめのホワイトニング方法です。
オフィスホワイトニング
高濃度の薬液と効果を高める専用の光を併用することで、1回の施術で白さを実感することができるホワイトニング方法です。
初めての方は、さらに数回続けて行うことで、より効果が期待できます。
施術の後、多少歯がしみることがあったり、色戻りが比較的早いなどのデメリットもありますが、短期間で確実に歯を白くしたい方に、おすすめのホワイトニング方法です。
デュアルホワイトニング
ホワイトニングには、オフィスホワイトニングとホームホワイトニングの2種類があり、この2種類を併用して行うのが、「デュアルホワイトニング」です。
「デュアルホワイトニング」は、双方のメリットを合わせた方法です。
手軽に短時間で結果のでるオフィスホワイトニングと効果の持続するホームホワイトニングの併用により、単独のホワイトニング方法では出せない白さや透明感を最も短期間で効果的に手に入れることができます。
色戻りもしにくく、周りからも「歯がとっても白くなったね!」と言ってもらえるでしょう。
歯の変色の原因
外側からくる変色
歯の着色は飲食によるものが多いのが現状です。
タバコはもちろん、赤ワインやコーラ、オレンジジュース、人参ジュースなど、色の濃いジュース類も歯に色をつけます。
その他、カレー、ケチャップ、チョコレートやブドウ、ブルーベリー、プルーンなどの果汁も着色しやすい食品です。
また、口紅も注意が必要です。
喫煙もそうですが、これらを飲食したからと言って、すぐに歯の色が変わってしまうわけではありません。
ただ長く頻繁に口にしているほど、着色は進んでいきますので、注意が必要です。
内側からくる変色
加齢変化による変色
生えたての歯の象牙質は淡いクリーム色をしていますが、肌の老化と同じで新陳代謝により年々この色が濃くなってきてしまいます。
エナメル質も毎日の歯磨きや歯軋り、食事などで薄くなり内側の象牙質の色が強くなってきてしまいます。この二つの相互作用により歯の色が黄色くなってくるのです。
薬剤による変色
テトラサイクリンという抗生剤によっても象牙質の色が変色します。
永久歯の象牙質ができてくる乳児から7歳くらいの間にこの薬を長期間飲むと象牙質に色素が沈着してしまい歯の色がかなり濃くなったり歯に縞模様ができたりします。
神経を取ることによる変色
歯の神経をとってしまったり神経が死んでしまったりした場合でも象牙質が茶色に変色してきます。これは歯に栄養が行き渡らなくなったために起こる現象です。
ホワイトニングの流れ
カウンセリング・診査
01
ホワイトニングの流れについて、まずはカウンセリングと診査を行います。ここでは歯がどのように変色したのか、生活習慣や神経の有無などの原因を丁寧に確認します。続いて、歯ぐきの状態やむし歯の有無を検査し、もしむし歯が見つかった場合はホワイトニングより先に治療を行います。そのうえで、当院でご用意しているホワイトニングの種類をご説明し、患者さまのご希望に合った方法を一緒にお選びしていきます。
事前クリーニング
02
ホワイトニングの流れとして、まず事前にクリーニングを行い、歯石や着色をしっかり取り除きます。これにより、ホワイトニング薬剤が歯の表面に均一に作用し、より効果的な仕上がりにつながります。
ホワイトニング施術
03
- オフィスホワイトニングでは、まず歯ぐきをしっかり保護したうえでティオンの薬剤を歯の表面に塗布し、専用の光を照射してホワイトニング効果を高めていきます。施術後は色の変化を確認し、通常は1〜3回の処置で効果を実感していただけます。
- ご自宅で行うホームホワイトニングでは、最初に専用トレーを作製するための型取りを行い、使用方法をご説明します。ご自宅では、1日1〜2時間程度、これを約2週間続けていただくことで、ゆっくりと自然な白さへ導きます。
経過観察・色の確認
04
ホワイトニング後は、経過を観察しながら歯の色を確認します。ご希望の白さに達しているかを丁寧にチェックし、必要があればタッチアップ(追加のホワイトニング)をご提案いたします。
ホワイトニング費用
| ホームホワイトニング | 〇〇円 |
|---|---|
| オフィスホワイトニング | 〇〇円 |
| デュアルホワイトニング | 〇〇円 |
よくある質問
削りません。薬剤でエナメル質内部の着色を分解する治療です。
- オフィス:その日〜数日以内に実感できます。
- ホーム:1週間ほどで徐々に白くなります。
知覚過敏が出る場合がありますが一時的です。
なりません。色合わせが必要な場合は、漂白後に再作製します。
平均6か月〜1年ほどです。
再着色してきた場合はホームホワイトニングで簡単に戻せます。
- すぐ白くしたい方はオフィスホワイトニングがお勧めです。
- 自然な白さ・長持ちをご希望の方はホームホワイトニングがお勧めです。
- 最も効果的なのはオフィスホワイトニング + ホームホワイトニング併用です。
※お悩みの方はお気軽に当院までお越しください。
審美修復(セラミック・ジルコニア)
審美修復(セラミック・ジルコニア)とは
現在考えられている歯科材料の中でも、天然歯に近い美しさと機能性を再現できる審美修復(セラミック・ジルコニア)を用いた治療です。
詰め物や被せ物といった一般的な補綴治療はもちろん、歯を失った部分の欠損補綴や、インプラント上部構造(被せ物)まで幅広く対応しています。
保険適用外の治療となるため、治療範囲や本数によっては費用が高額になる場合がありますが、見た目・噛み心地・耐久性を重視した精密な治療が可能です。
美しい仕上がりと長期的な安定性を実現するためには、歯科医師の診断力・治療技術と、歯科技工士の高い技術力、そして密な連携が欠かせません。
当院では、それぞれの専門性を生かし、お一人おひとりのお口の状態に合わせた最適な審美修復・欠損補綴治療を行っています。
審美修復(セラミック・ジルコニア)治療の流れ
歯科医師の役割
01
まず歯ぐきの炎症やお口全体の状態を整え、治療が長く安定する環境をつくります。
詰め物・被せ物はもちろん、欠損補綴やインプラント上部構造にも対応できるよう、噛み合わせや歯の形を精密に設計し、高精度な型取りを行います。
歯科技工士の役割
02
採取した歯型をもとに、精密な模型を作製します。
歯の色・形・透明感まで細かく再現し、自然な見た目と高い適合性を兼ね備えた審美修復(セラミック・ジルコニア)を仕上げます。
最終調整と装着(歯科医師)
03
完成した修復物をお口の中で確認し、噛み合わせや見た目を細かく調整したうえで装着します。
機能性と審美性の両立を確認し、快適にお使いいただける状態へ仕上げます。
定期的なメインテナンス
04
治療後は、定期的なメンテナンスを行うことで、審美修復の美しさと噛み合わせの安定、そしてお口全体の健康を長く維持することができます。
審美修復(セラミック・ジルコニア)の種類
フルジルコニアクラウン(単層構造)
フルジルコニアクラウンは、すべてにジルコニアを使用したメタルフリーの修復物です。単独歯はもちろん、ブリッジなどの欠損補綴にも対応できる高い強度を持ち、特に噛む力がかかる奥歯に適しています。従来の築盛セラミックと比べて約10倍の強度があり、割れにくく長期的な安定性に優れています。
一方で、色調のバリエーションは限られているため、前歯部では白さがやや強く感じられる場合があります。
そのため、部位やご希望に応じて、他の審美修復方法と組み合わせたご提案を行います。
ジルコニアフレーム陶材焼付け
(二層構造[前装冠])
ジルコニアフレーム陶材焼付けは、高強度のジルコニアでフレーム(内側)を作製し、その上に陶材(セラミック)を焼き付けた二層構造の審美修復です。
噛む力がかかる部分にはジルコニアの強度を生かし、見た目に関わる部分には陶材を用いることで、天然歯に近い透明感や色調を再現します。
特に前歯部では、歯の色のグラデーションや質感まで細かく表現できるため、自然で美しい仕上がりが期待できます。
機能性と審美性を高いレベルで両立でき、見た目を重視した前歯の審美修復に適した治療法です。
メタル陶材焼付け
メタル陶材焼付けは、専用の金属(主に貴金属)でフレームを作製し、その上に陶材(セラミック)を焼き付けた修復方法です。長年にわたり使用されてきた実績があり、安定性と耐久性に優れた治療法として知られています。
一方で、歯ぐきとの境目に金属色が透けて見えたり、黒ずみが生じたりすることがある点がデメリットです。
そのため近年では、咬合力が強い方の修復や、強度が求められる長いブリッジなどに用いられることが多い修復方法です。
セラミック修復の種類(単層構造)
フルジルコニアクラウン
全てジルコニアを使用したメタルフリーのもので、単独歯の他にブリッジにも適応し特に奥歯に適しております。セラミックの中で最も固く従来型築盛セラミックに比べて約10倍の強度をもちますが、色調のバリエーションが少なく前歯部では白味が強く出てしまいます。
メリット
- 強度が非常に高い
- 汚れが付きにくい
- 変色しにくい
- 適合精度が高い
- 金属を使わない(メタルフリー)
デメリット
- 審美性はやや劣る場合がある
- 噛み合う天然歯をすり減らす可能性がある
- 保険適用外(自費診療)
- 修理が難しい
プレスセラミック(IPS e.max)
ニケイ酸リチウムガラスセラミックスをインゴットとして使用したメタルフリーのもので、咬合力が非常に大きい方の奥歯を除いて全ての単独歯の修復に適応できます。硬さが従来型築盛セラミックの約4倍で強度に優れ色調が安定している他、製作方法がシンプルでコストパフォーマンスに優れています。
メリット
- 天然歯に近い高い審美性
- 金属を使わないメタルフリー素材
- 自然な光の透過性
- 適合精度が高い
- 汚れが付きにくい
デメリット
- 強度はジルコニアより劣る
- 適応部位に制限がある
- 保険適用外(自費診療)
- 色調調整に技工士の技量が影響する
セラミック修復の種類(二層構造 [前装冠] )
ジルコニアフレームセラミクス
強固なジルコニアでフレームを作製した上に築盛セラミックを装飾したもので、主に前歯部ではとてもきれいに仕上がります。かみ合う部分はジルコニアで見た目にかかわる部分は築盛セラミックの特徴を生かして本物の歯のようにリアルに色調再現していきます。
メリット
- 強度と審美性の両立
- 高い審美性(特に前歯)
- メタルフリー
- 変色しにくい
- 適応範囲が広い
デメリット
- 表面セラミックが欠ける事がある
- 調整・修理が難しい
- フルジルコニアより強度は劣る
- 費用が高め(自費診療)
メタルセラミクス
専用の貴金属に築盛セラミックを焼き付けして作製します。古くから今日まで用いられる非常に安定した修復方法ですが、歯肉との境目に黒味が出るのが最大の欠点です。最近では、咬合力の大きい方の修復や長いブリッジなどに応用することが多いです。
メリット
- 高い強度と耐久性
- 審美性と強度のバランスが良い
- 適応範囲が広い
- 長い臨床実績
デメリット
- 金属アレルギーのリスク
- 歯ぐきが黒ずむことがある
- 透明感はオールセラミックに劣る
- 経年劣化の可能性
セラミック治療費用
| フルジルコニアクラウン | 〇〇円 |
|---|---|
| プレスセラミック(IPS e.max) | 〇〇円 |
| ジルコニアフレームセラミクス | 〇〇円 |
| メタルセラミクス | 〇〇円 |
審美・精密義歯
審美・精密義歯の種類
総義歯(精密義歯)
歯がすべてない方のための入れ歯で、噛み合わせや顎の動きを細かく分析し、精密に製作する総義歯です。
安定性が高く、外れにくいため、食事や会話を快適に行うことができます。
自然な見た目としっかり噛める機能性を両立した義歯です。
金属床義歯
義歯の土台部分に金属を使用した入れ歯です。
薄く作ることができるため、装着時の違和感が少なく、熱が伝わりやすいのが特徴です。
強度が高く、たわみにくいため、長期間安定して使用したい方に適しています。
ノンクラスプデンチャー
金属のバネ(クラスプ)を使用しない、見た目に配慮した入れ歯です。
自然な歯ぐきの色に近い素材を使用するため、装着していても目立ちにくいのが特徴です。
「入れ歯だと気づかれたくない」「見た目を重視したい」という方におすすめです。
よくある質問
初めて装着した直後は、多少の違和感や当たりを感じることがありますが、調整を行うことで徐々に馴染んでいきます。
当院では装着後の調整を大切にしており、痛みが出にくいよう細かく対応しています。
噛み合わせや顎の動きをより細かく分析し、精密に作製する点が大きな違いです。
安定性が高く、外れにくいため、食事や会話がしやすくなります。
熱が伝わりやすいため、飲食物の温度を感じやすくなりますが、冷たさが不快に感じることはほとんどありません。
素材の特性上、設計や噛み合わせによっては注意が必要な場合があります。
お口の状態に合わせて、適した設計をご提案します。
金属のバネを使用しないため、口を開けたときにも入れ歯が目立ちにくくなっています。
